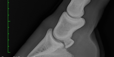
BEMVS uses the state-of-the art imaging equipment with our TruDr Lx digital xray system. This system utilises the latest technology and methods to capture the highest quality diagnostic images, with the detail far superior than conventional film x-rays. This allows x-rays to be taken on site without the need for transport to a hospital. Images … Continue reading Radiology
Copy and paste this URL into your WordPress site to embed
Copy and paste this code into your site to embed